Μέλος της Ελληνικής Ακαδημίας Αισθητικής Οδοντιατρικής
Μέλος της Ελληνικής Ακαδημίας Αισθητικής Οδοντιατρικής
Δημοσιεύσεις μας με άρθρα και έρευνητική καινοτομία σε επιστημονικά περιοδικά και ακαδημαικους οργανισμούς.
Διάφορα ενημερωτικά άρθρα για τις νέες τεχνολογίες που εφαρμόζονται σε περιστατικά.

Η ανάγκη του ανθρώπου να αναπληρώσει τα δόντια που χάθηκαν είναι πολύ παλιά. Στην κεντρική Αμερική, στην Ονδούρα σε ένα κρανίο που ανήκε σε μία πριγκίπισσα των Μάγια, βρέθηκε ένα από τα πρώτα εμφυτεύματα φτιαγμένο από μαύρη γυαλιστερή πέτρα. Το εμφύτευμα αυτό μάλιστα, φαίνεται ότι λειτούργησε για αρκετό διάστημα μια και φέρει ανάλογη εναπόθεση τρυγίας με τα γειτονικά του δόντια. Ανάλογα ευρήματα ανακάλυψε η αρχαιολογική σκαπάνη στην Αίγυπτο και την Μεσοποταμία.
Οι προσπάθειες συνεχίστηκαν μέσα στους αιώνες και τα τελευταία πενήντα χρόνια μόνο, αναπτύχθηκαν τέσσερις νέοι τύποι εμφυτευμάτων και χρησιμοποιήθηκαν κλινικά με άλλοτε άλλη επιτυχία. Τα υποπεριοστικά (για την αποκατάσταση κυρίως της ολικής νωδότητας), τα διαγναθικά τα ενδοοστικά (εμφυτεύματα με τη μορφή καρφιού, λεπίδας, άγκυρας ή κεφαλής βέλους) που περιβάλλονται από κάψα συνδετικού ιστού και τα οστεοενσωματούμενα.

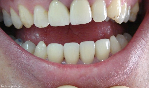
Οι οδοντιατρικές γέφυρες και οι στεφάνες έχουν αρκετές χρήσεις σήμερα. Για παράδειγμα, όταν χάνεις ένα δόντι για τον ένα ή τον άλλο λόγο, αυτό το κενό πρέπει να καλυφθεί. Από την μία πλευρά αυτό πρέπει να γίνει γιατί είναι αντιαισθητικό να λείπει ένα δόντι από το χαμόγελό σου και από την άλλη πρέπει να αποκατασταθεί το κενό γιατί αλλιώς τα παρακείμενα δόντια θα αρχίσουν να στραβώνουν για να καλύψουν το κενό με αποτέλεσμα να δημιουργούνται πρόσθετα προβλήματα στην οδοντοστοιχία μας.
Υπάρχουν δύο τρόποι να καλυφθεί το κενό. Ο ένας είναι με μία γέφυρα η οποία αποτελείται από οδοντιατρικές στεφάνες (θήκες) και η άλλη είναι με ένα εμφύτευμα. Στο άρθρο αυτό θα ασχοληθούμε με τις οδοντιατρικές στεφάνες και τις γέφυρες. Αν θέλετε να πάρετε περισσότερες πληροφορίες σχετικά με τα εμφυτεύματα τότε πατήστε εδώ.